
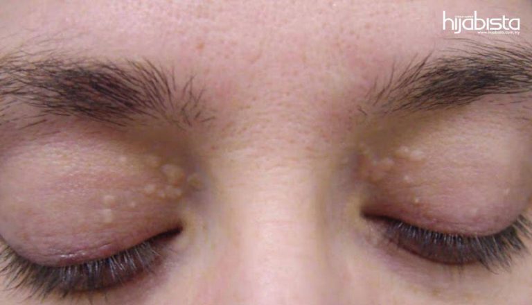
Ada tak yang mengalami masalah bintik atau kutil bawah mata? Bukan jerawat tapi kutil kolestrol. Memang sukar untuk hilangkan bintik putih bawah mata ni walaupun menggunakan pelbagai cara. Ia sukar hilang sebab jika puncanya timbul bintik ini tidak diketahui.
Biji kolesterol (lemak) atau xanthomas dan juga dikenali sebagai milia. Ia adalah lebihan lemak yang muncul di bawah kulit. Semua orang berpotensi untuk mendapat biji kolesterol ini termasuklah kanak-kanak mahupun orang dewasa, perempuan ataupun lelaki.
Xanthomas boleh muncul di mana-mana sahaja pada badan tetapi biasanya terdapat pada siku, lutut, tangan, kaki, sendi, dan punggung. Namun, biasanya ia terjadi di bawah mata atau spesifiknya dikenali sebagai xanthelasma palpebra.
Kolestrol jahat di bahagian mata dan muka
Ramai yang mula-mula salah anggap itu ialah jerawat. “Jerawat nasi” sebab halus dan berwarna putih. Memang siapa yang ada bintik putih bawah mata itu tandanya badan anda terlebih kolestrol jahat.
Individu yang tidak mempunyai bacaan kolesterol yang tinggi pun boleh menghadapi biji kolesterol jenis ini. Tanda-tanda tahap kolesterol tinggi dalam badan ialah munculnya biji lemak di bahagian mata atau muka.
Ada tak yang mengalami masalah ini? Cuba belek muka sendiri? Mesti mencari cara untuk mengatasi dan menghilangkan bintik kolesterol yang mencacatkan rupa wajah. Bintik kolesterol terjadi apabila terdapat lebihan lemak yang terbina di bawah kulit.
Masalah kolesterol tinggi memang agak membimbangkan kerana banyak penyakit berpunca dari kolesterol tinggi ini. Masalah ini tidak semestinya dihadapi oleh orang gemuk sahaja malahan orang yang kurus juga berisiko mengalami masalah kolesterol jika cara pemakanan tidak dijaga.
Cara Mengukur Kadar Kolestrol :
- Normal – jika kolestrol kurang atau sama dengan 200 mg/dL
- Sederhana tinggi – kolestrol 200 mg/dL hingga 239 mg/dL
- Berbahaya – kolestrol 240 mg/dL
Tanda-Tanda Kolestrol Tinggi
- Sering kebas-kebas pada kaki.
- Timbul bintik-bintik putih (biji lemak) pada bahagian bawah mata, muka dan bahagian leher yang disebabkan kadar tringliserida yang tinggi.
- Mudah letih, penat dan cepat mengantuk.
- Sering berasa sakit.
- Arteri semakin sempit akan membuatkan aliran darah ke otak berkurangan, sehingga menyebabkan rasa sakit pada kepala.
- Kaki membengkak akibat pembuluh darah semakin sempit. (kaki merupakan bahagian paling sedikit mendapat darah).
- Senak dada sbelah kiri apabila pembuluh darah pada bahagian jantung mula tersumbat.
Cara Atasi Biji Kolestrol
1. Kurangkan makanan yang bergoreng serta berlemak yang tinggi kandungan kolestrol.

Kolestrol Jahat ialah kolestrol yang tidak diperlukan oleh badan dan dikenali sebagai LDL. Kolestrol baik dikenali sebagai HDL.Contoh makanan yang perlu dikurangkan ialah daging, majerin dan dessert yang manis-manis.
2. Tingkatkan pengambilan serat seperti sayur dan buah-buahan.

Banyakkan makan buah-buahan segar dan sayur-sayuran kerana ia boleh membantu mengurangkan kolestrol dalam badan kerana kandungan fiber. Digalakkan ambil buah segar dan jus buahan tanpa campuran gula. Tingkatkan pengambilan makanan yang boleh meningkatkan paras lemak baik seperti kekacang, avocado, olive oil. Pengambilan yang teratur untuk membantu turunklan paras kolestrol.
3. Amalkan makanan yang mengandungi Omega 3.

Contoh paling senang, Ikan. Tingkatkan pengambilan ikan. Ikan yang katanya Omega 3 tinggi ialah ikan keli. Ikan laut pun boleh. Cuma risaukan logam2 berat yang terdapat pada sisik ikan pulak nanti.
4. Lebihkan bawang putih dalam masakan

Bawang putih terkenal sebagai anti-radang serta antibiotik semulajadi. Apabila badan kita tinggi kandungan kolestrol, badan akan mudah mempunyai radang.
Tampil #1 on top dengan fashion muslimah terkini di HIJABISTA!
Download sekarang di




