
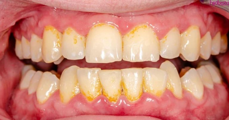
Siapa sahaja pasti mahukan gigi yang cantik, sihat dan sempurna. Tetapi kehadiran karang gigi menjadi masalah. Walaupun hari-hari kita memberus gigi, namun karang gigi tetap muncul. Bagaimana sebenarnya nak atasi masalah ini?
Di twitter, @sobrifadzil telah berkongsi tips mengenai apa sebenarnya yang perlu dilakukan bagi membuang karang gigi ini.

Kena faham dulu macam mana prosesnya terjadi….

Berus gigi sahaja tak cukup! Kenalah cuba cara lain juga.

Ini caranya untuk hilangkan karang gigi. Kebanyakan daripada kita mesti ada yang rasa malaskan nak lakukan semua ini. Jangan begitu, ingatlah senyuman kita ini menyerikan lagi penampilan kita. Oleh itu, jagalah gigi dengan sebaik mungkin!

kredit:twitter @sobrifadzil
sumber foto utama: 99.co
Tampil #1 on top dengan fashion muslimah terkini di HIJABISTA!
Download sekarang di

